La risonanza magnetica, a differenza della diagnostica TAC, non utilizza radiazioni ionizzanti (raggi X) ma bensì "immerge"
il corpo vivente in un campo magnetico e con l'utilizzio delle radiofrequenze eccita gli atomi che poi a fine esame rilasciano
energia che viene trasformata in immagini. Anche nella risonanza magnetica viene utilizzato, ove necessario, un contrasto (paramagnetico)
che consente di evidenziare le lesioni eventualmente presenti.
Al pari della TAC la risonanza magnetica effettua sezioni del corpo con immagini sagittali e trasverse, nella RM queste immagini
vengono indicate con i termini quali Echo-Spin, pesata T1, pesata T2, Stir, Flair.
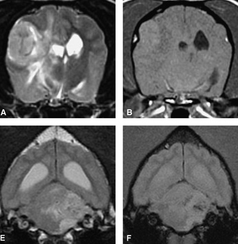
La risonanza magnetica negli ultimi anni è risultata l'esame diagnostico di elezione per lo studio del sistema nervoso centrale (testa e midollo spinale) permettendo una diagnosi accurata delle lesioni neoplastiche, infiammatorie, degenerative e in particolare lo studio delle enrnie del disco così frequenti nel cane. La TAC e la risonanza magnetica sono due esami complementari, uno non esclude l'altro e presso il nostro centro, sullo stesso caso clinico e nello stesso momento li eseguiamo entrambi, quando necessario, per una diagnosi estremamente accurata.
La risonanza magnetica risulta insostituibile come esame nelle lesioni cerebrali in particolare per lo studio dell'epilessia primaria o idiopatica, nello studio come le malformazioni congeniti quali l'idrocefalo nel cucciolo in età di sviluppo, nel tumore primario celebrale (meningiomi, gliomi, blastomi) o nelle metastasi cerebrali, nella malformazione come la sindrome di Chiari (particolarmente colpita la razza del Kink Cavalier). Nelle emoragie craniche post-traumatiche, nello studio dell'adenoma della ghiandola ipofisaria, nello studio dell'area retrobulbare oculare.
La risonanza magnetica rappresenta oramai l'esame diagnostico per eccellenza nello studio delle lesioni del midollo spinale e della colonna vertebrale, specificatamente nella valutazione dellle ernie del disco, patologia largamente diffusa nei nostri animali domestici.
Al pari dello studio del cervello, la risonanza magnetia evidenzia le lesioni tumorali, vascolari, infiammatorie, degenerative anche del midollo spinale. La risonanza magnetica è largamnente applicata nelle lesioni post-traumatiche del ginocchio.
La risonanza magnetica negli ultimi anni è risultata l'esame diagnostico di elezione per lo studio del sistema nervoso centrale (testa e midollo spinale) permettendo una diagnosi accurata delle lesioni neoplastiche, infiammatorie, degenerative e in particolare lo studio delle enrnie del disco così frequenti nel cane. La TAC e la risonanza magnetica sono due esami complementari, uno non esclude l'altro e presso il nostro centro, sullo stesso caso clinico e nello stesso momento li eseguiamo entrambi, quando necessario, per una diagnosi estremamente accurata.
La risonanza magnetica risulta insostituibile come esame nelle lesioni cerebrali in particolare per lo studio dell'epilessia primaria o idiopatica, nello studio come le malformazioni congeniti quali l'idrocefalo nel cucciolo in età di sviluppo, nel tumore primario celebrale (meningiomi, gliomi, blastomi) o nelle metastasi cerebrali, nella malformazione come la sindrome di Chiari (particolarmente colpita la razza del Kink Cavalier). Nelle emoragie craniche post-traumatiche, nello studio dell'adenoma della ghiandola ipofisaria, nello studio dell'area retrobulbare oculare.
La risonanza magnetica rappresenta oramai l'esame diagnostico per eccellenza nello studio delle lesioni del midollo spinale e della colonna vertebrale, specificatamente nella valutazione dellle ernie del disco, patologia largamente diffusa nei nostri animali domestici.
Al pari dello studio del cervello, la risonanza magnetia evidenzia le lesioni tumorali, vascolari, infiammatorie, degenerative anche del midollo spinale. La risonanza magnetica è largamnente applicata nelle lesioni post-traumatiche del ginocchio.